UNSERE MISSION:
DAUERHAFTE MUNDGESUNDHEIT
UND IHR SCHÖNSTES LÄCHELN!
Vorher - Nachher - Galerie
In unserer modernen Zahnarztpraxis verbinden wir jahrelange Erfahrung mit innovativen Behandlungsmethoden, um Ihnen zu einem strahlenden und gesunden Lächeln zu verhelfen. Anhand unserer Vorher-Nachher-Galerie können Sie sich selbst ein Bild von der Qualität und den beeindruckenden Ergebnissen unserer zahnmedizinischen Behandlungen machen. Ob Zahnaufhellung, Zahnersatz oder kieferorthopädische Korrekturen – wir zeigen Ihnen authentische Fallbeispiele unserer zufriedenen Patienten, die ihr neues Lächeln heute mit Stolz präsentieren.
Bleaching vorher / nachher
Vorher zeigt sich ein natürlicher Zahnfarbton mit leichten Verfärbungen, wie sie durch Kaffee oder Tee entstehen können. Nach dem Zahnbleaching erstrahlen die Zähne in einem deutlich helleren, strahlenden Weiß – ein sichtbarer Unterschied, der das Lächeln aufleuchten lässt!




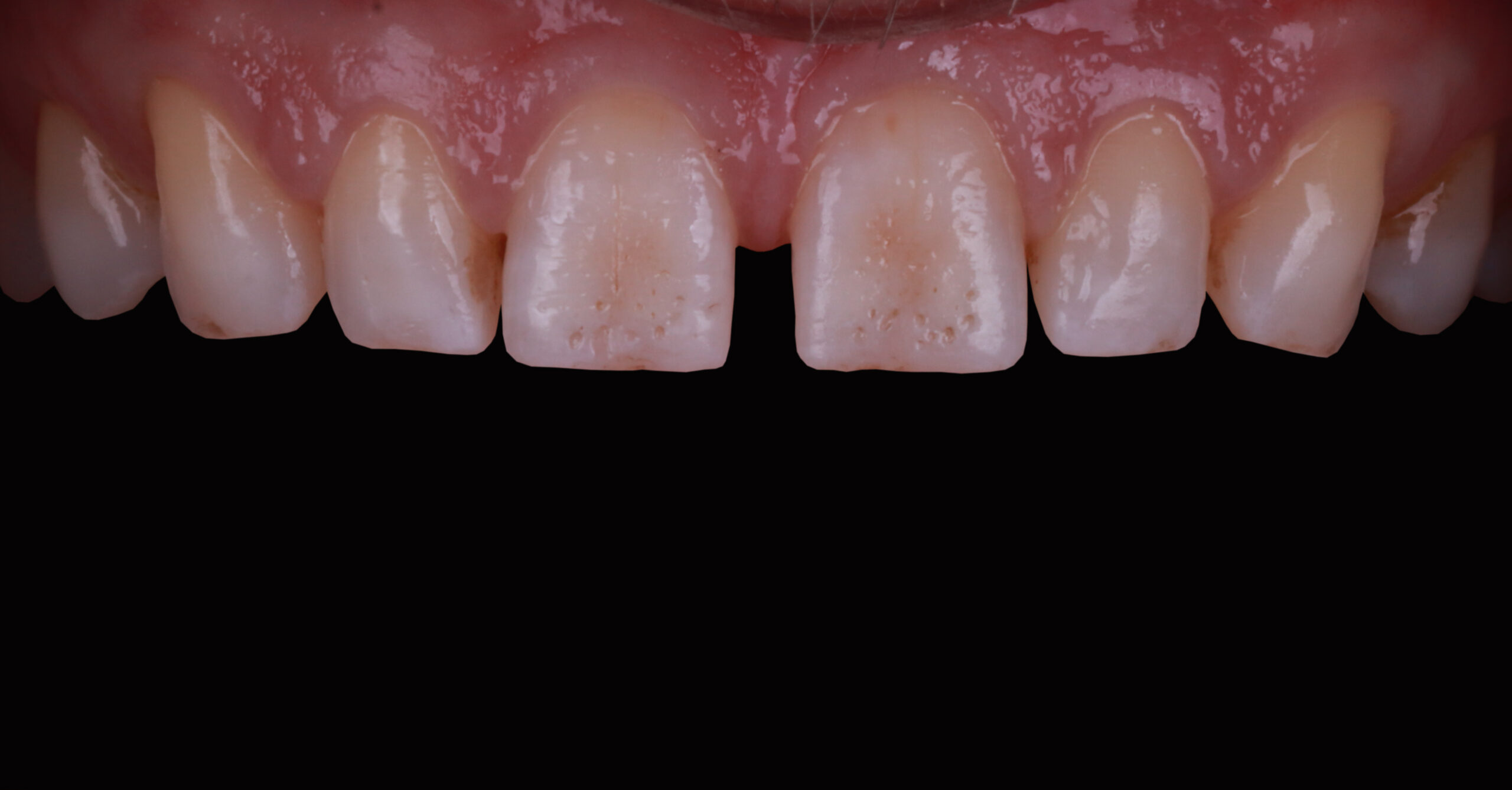
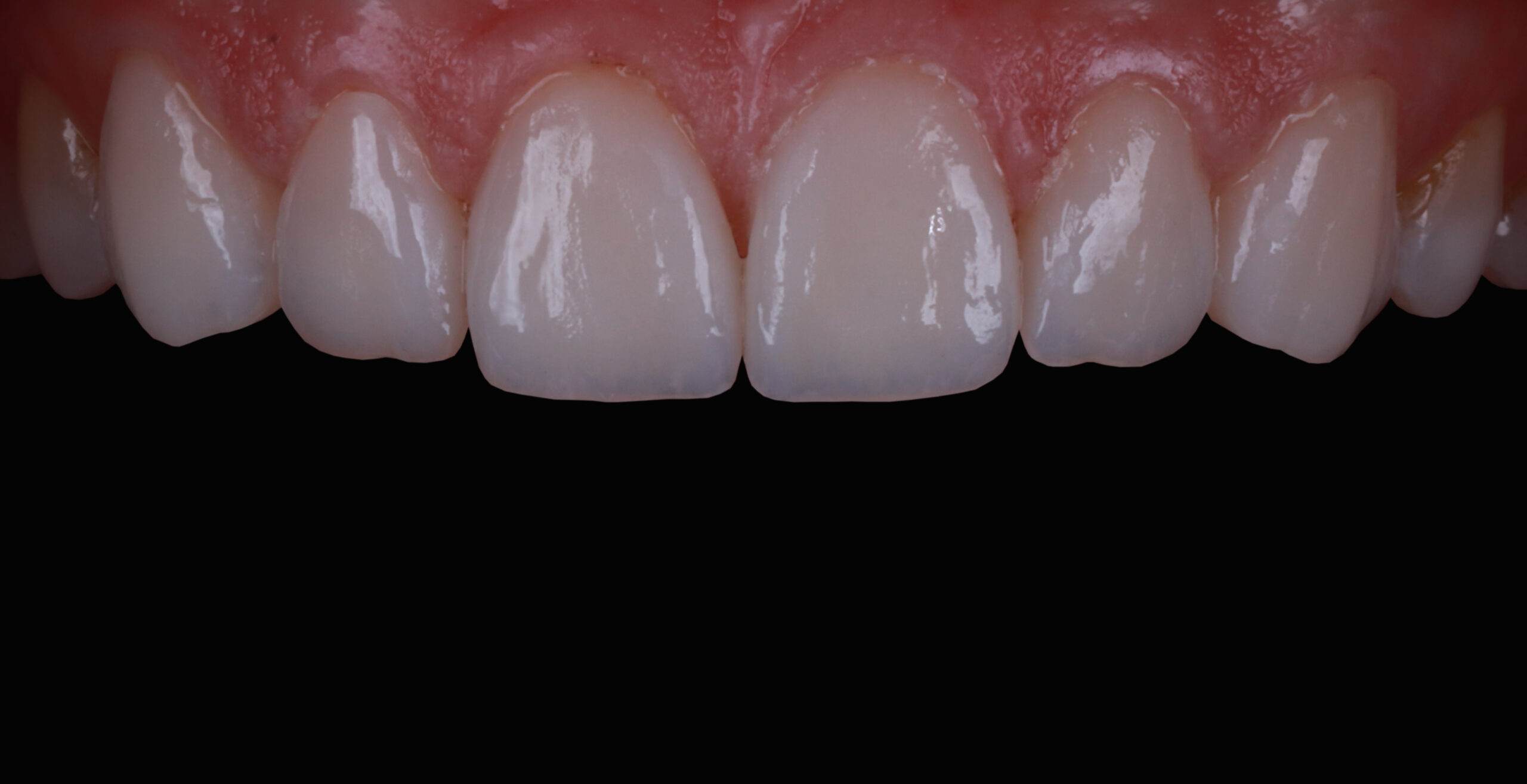
Behandlung mit Veneers vorher / nachher
Verschönern von unregelmäßigen Zähnen durch Veneer – Behandlung


Zahnersatz und Veneers vorher / nachher
Die Patientin bekam zunächst Zahnersatz in Form von Kronen bei uns. Die Frontzähne wurden in Form und Farbe mit Hilfe von Veneers angepasst. Das Lächeln ist nun harmonisch und strahlend – wie gewünscht.

Zahnersatz und Veneers vorher / nachher
Die Patientin war unzufrieden mit ihrem Lächeln und wünschte sich ebenmäßige, weiße Zähne. Dies konnten wir mit Zahnersatz erreichen. Im Frontbereich haben wir Veneers eingesetzt.

Implantate und Veneers vorher / nachher
Bei der Patientin wurden Implantate gesetzt und anschließend, um ein einheitliches Bild zu kreieren, mit Veneers gearbeitet.

Zahnersatz und Veneers vorher / nachher
Die Patientin bekam zunächst Zahnersatz in Form von Kronen bei uns. Die Frontzähne wurden in Form und Farbe mit Hilfe von Veneers angepasst. Das Lächeln ist nun harmonisch und strahlend – wie gewünscht.

Zahnersatz und Veneers vorher / nachher
Die Patientin war unzufrieden mit ihrem Lächeln und wünschte sich ebenmäßige, weiße Zähne. Dies konnten wir mit Zahnersatz erreichen. Im Frontbereich haben wir Veneers eingesetzt.

Implantate und Veneers vorher / nachher
Bei der Patientin wurden Implantate gesetzt und anschließend, um ein einheitliches Bild zu kreieren, mit Veneers gearbeitet.

Gummy Smile Behandlung vorher / nachher
Die Bilder zeigen ein Lächeln mit stärker sichtbarem Zahnfleisch (Gummy Smile), das den ästhetischen Eindruck beeinflusst. Nach dem Lip-Respositioning wirkt das Lächeln ausgeglichener, da die Lippen harmonisch positioniert sind und weniger Zahnfleisch sichtbar ist.

Gummy Smile Behandlung vorher / nachher
Die Vorher-Bilder zeigen ein überschüssiges Zahnfleisch, das das Lächeln etwas verdeckt und uneben wirkt. Nach der Gingivektomie ist das Zahnfleisch präzise korrigiert, wodurch die Zähne harmonisch zur Geltung kommen und ein ästhetisches Gesamtbild entsteht.

Gummy Smile Behandlung vorher / nachher
Unsere Patientin war mit Ihrem Lächeln nicht zufrieden, weil dabei sehr viel Zahnfleisch sichtbar wurde (Gummy Smile). Zudem hat sie die Größe und Form der Zähne gestört. Nach einer ausführlichen Beratung zu den Behandlungsoptionen, entschied sie sich für die Versorgung mit zehn Veneers (Link) im Oberkiefer in Kombination mit einer chirurgischen Kronenverlängerung.
Hierbei wir zunächst das Zahnfleisch neu konturiert und danach der Knochen remodelliert um einen neuen biologischen Abstand zu den keramischen Veneers zu gewährleisten und eine langfristige Stabilität der Gewebe zu erzielen.

Mit dem Verfahren Digital Smile Design können wir vorher simulieren wie es hinterher aussehen wird.
Implantate vorher / nachher
Der obere rechte Schneidezahn war nicht mehr vohanden und wurde durch ein Implantat ersetzt, nach inadäquater Versorgung. Zudem wurden keramische Veneers auf den benachbarten Zähnen angebracht sowie ein Zahnfleischlifting im Frontzahnbereich durchgeführt.

Implantate und Veneers vorher / nachher
Bei der Patientin wurden Implantate gesetzt und anschließend, um ein einheitliches Bild zu kreieren, mit Veneers gearbeitet.

Kieferorthopädie vorher / nachher
Behebung eines Kreuzbisses innerhalb von 9 Monaten mit Alignern.

Aligner – Therapie vorher / nachher
Die Patientin hatte frontal einen offenen Biss und Lücken.
Durch die Aligner-Therapie konnte der Biss geschlossen werden und alle Zähne wurden optimal ausgerichtet.

Kieferorthopädie / Aligner vorher / nachher
Behebung eines Kreuzbisses innerhalb von 9 Monaten mit Alignern.

Zahnersatz und Veneers vorher / nachher
Die Patientin bekam zunächst Zahnersatz in Form von Kronen bei uns. Die Frontzähne wurden in Form und Farbe mit Hilfe von Veneers angepasst. Das Lächeln ist nun harmonisch und strahlend – wie gewünscht.

Zahnersatz und Veneers vorher / nachher
Die Patientin war unzufrieden mit ihrem Lächeln und wünschte sich ebenmäßige, weiße Zähne. Dies konnten wir mit Zahnersatz erreichen. Im Frontbereich haben wir Veneers eingesetzt.

Implantate und Veneers vorher / nachher
Bei der Patientin wurden Implantate gesetzt und anschließend, um ein einheitliches Bild zu kreieren, mit Veneers gearbeitet.
