GENAUSO LACHEN WIE MIT NATÜRLICHEN ZÄHNEN
ZAHNERSATZ AUS EIGENEM HAUS
DIE ZAHNMANUFAKTUR DER ZAHNÄRZTE AM FRIEDRICHSPLATZ
Für unsere Patienten nur das Beste: Darum bieten wir Ihnen hochwertigen, in einer Kombination aus filigraner Handarbeit und Einsatz modernster Technik gefertigten Zahnersatz aus unserer eigenen Zahnmanufaktur an. Durch Beschäftigung hoch qualifizierter Zahntechniker stellen wir höchste Qualität, kurze Wege und schnelle Reaktionszeiten sicher. Wir stellen Ihnen Zahnersatz und Veneers nicht nur in hoher Qualität bereit, wir garantieren kurze Wartezeiten bei Erstanfertigung und Reparaturbedarf.

DIE VORTEILE FÜR SIE:
- Qualität „aus einer Hand“: Die praxiseigene zahntechnische Abteilung sorgt für enges Teamwork zwischen Zahnarzt und Zahntechniker. Es besteht die Möglichkeit, sich unmittelbar, schnell und einfach abzustimmen. Dies spielt eine entscheidende Rolle für die Qualität.
- Größere Arbeiten können gemeinsam mit Ihnen besprochen und Ihre Wünsche miteinbezogen werden – zum Beispiel im Rahmen unseres innovativen Planungskonzepts Digital Smile Design. So ist eine besonders individuelle, natürliche wirkende Gestaltung Ihrer neuen Zähne möglich.
- Auch die genaue Zahnfarbe und -form werden in direkter Absprache zwischen Ihnen und dem Zahntechniker bestimmt.
- Anpassungen und kleine Reparaturen lassen sich oft schon während Ihres Besuchs durchführen, ohne weitere Termine und Extrawege.
- Digital Smile Design
IMPLANTATE, BRÜCKEN, KRONEN, VENEERS IN KREFELD: HOCHWERTIG, DAUERHAFT, ÄSTHETISCH
Die Anfertigung von funktional wie ästhetisch naturgetreuem Zahnersatz – Implantate, Brücken, Inlays und Kronen – und Veneers ist eine Kunst für sich. Nicht nur sind die einzelnen Stücke klein und bedürfen eines scharfen Blicks und ruhiger Hände: Sie müssen auch sowohl der Belastung im Alltag als auch dem Blick standhalten.
Wir haben höchste Ansprüche, wenn es darum geht, Zahnverlust optimal und individuell auszugleichen. Unser Ziel ist es, Ihnen hochwertigen, haltbaren, ästhetischen und genau auf Sie abgestimmten Zahnersatz anzubieten und Sie individuell zu beraten. Das gewährleisten wir Ihnen mit unserer hochmodernen praxiseigenen Zahnmanufaktur.

VENEERS
DIE KÖNIGSDISZIPLIN DER ZAHNTECHNIK
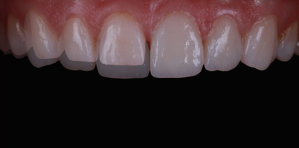
Veneers sind hauchdünne Keramikverblendungen, die in der Frontzahnästhetik zum Einsatz kommen. Die feinen Schalen werden von unseren Zahntechnikern individuell angefertigt und dann von uns dauerhaft mit Ihren Zähnen verbunden. Mithilfe von Veneers lässt sich das Erscheinungsbild Ihrer Zähne nachhaltig korrigieren und verbessern, sowohl hinsichtlich der Zahnfarbe als auch ihrer Form. Zu kleine oder beschädigte Zähne sehen mit Veneers wieder perfekt aus, Zahnlücken, Beschädigungen, Fehlstellungen oder Verfärbungen werden durch die Veneers verborgen. Und das Beste: Sie können damit ganz normal essen, kauen, sprechen … und strahlend lächeln!
Die Anfertigung der Veneers stellt an den Zahntechniker ganz eigene handwerkliche Anforderungen, die nicht mit denen für Implantate, Kronen oder Brücken vergleichbar sind. Deshalb greifen die meisten Zahnarztpraxen auf externe, spezialisierte Dienstleister zurück, wenn sie Veneers benötigen. Wir freuen uns, dass wir einen eigenen Zahntechniker für Veneers in unserer Zahnmanufaktur haben. So können wir Ihnen optimale Qualität, schnelle Umsetzung und perfekten Service anbieten.

Implantate:
Mit dem Digital Smile Design ermitteln wir vorab die individuell beste Lösung und zeigen Ihnen schon VOR der Behandlung, wie das Ergebnis voraussichtlich aussieht.
Kronen:
Mit der 3D-Planung und navigierter Implantologie kann die Implantation wesentlich genauer, sicherer, noch schonender und mit ästhetischerem Ergebnis erfolgen.
Brücken:
Bei einer Sofortversorgung sind Implantate und der zugehörige Zahnersatz innerhalb nur eines Tages möglich. Dazu ist kein Knochenaufbau erforderlich!
Inlays:
Ist zu wenig Knochensubstanz für den Halt von Implantaten vorhanden, stehen uns Knochenaufbauverfahren wie der „Sinuslift“ (extern und intern), Bone-Spreading/Bone-Splitting, Knochenblockverfahren und die laterale/vertikale Augmentation zur Verfügung.

HOCHÄSTHETISCH, ABDRUCKFREI UND AN EINEM TAG
Zu den Besonderheiten unserer Zahnmanufaktur gehört die abdruckfreie Herstellung von hochästhetischem Zahnersatz (Kronen, Brücken, Inlays) aus metallfreier Vollkeramik an nur einem Tag.